
保険診療の詰め物や被せ物は、金属(銀合金など)やプラスチックでの治療になります。
その金属の代わりに、歯の色に合った白くまた強度のある材料がセラミックになります。
セラミックの中にも、E-MAX(イーマックス)やジルコニア、メタルボンドと呼ばれる素材があります。
当医院では、その歯に合った素材をご提案させていただきます。
・金属アレルギーの方
・金属ではない自然で白い素材で治したい方
・前歯のプラスチックの変色が気になる
・より白い歯にしたい
※ホワイトニングとの併用がおすすめです

当医院では、拡大鏡やマイクロ顕微鏡を用いた精密なセラミック治療を行っております。
また患者様1人ひとりに合った素材のご提案をさせていただきます。
セラミックを作成する技工士も経験豊富な技工士と業務提携しております。

| 特徴 | ガラスセラミックに、より強度を持たせた素材です。 透明感や他の歯と調和した自然な白さを出せるのが特徴です。 定期的なメンテナンスを行えば、長期間変色がなく、 またプラークなどの歯の汚れがつきにくい為、歯周病の観点からも良いとされる素材となります。 |
| 適用 | 前歯部、インレー・クラウン |
| メリット | ・透明感のある自然な歯の白さを再現できる ・プラークや歯垢等の汚れがつきにくい ・経年的な色の変化がほぼない ・硬すぎず、噛み合わせる歯にも影響を与えない |
| デメリット | ・ジルコニアやメタルボンドに比べると強度が落ちる ・ブリッジの素材としては使用できない |
| 料金 | 前歯クラウン:¥104,500 奥歯クラウン:¥82,500 <形成料> 生活歯: ¥5,500 ファイバーコア: ¥3,850 メタルコア: ¥3,300 インレー:¥55,000 <形成料>¥4,400 |

| 特徴 | ジルコニアは歯科で使用されるセラミック(白い素材)の中でも最も丈夫な素材です。 奥歯や前歯の力が強くかかる部分の審美治療に多く使用されます。 またインプラントの被せ物は、当医院ではジルコニアで行っております。 ※一部症例により他の素材をご提案することがあります。 |
| 適用 | 前歯部、インレー・クラウン、ブリッジ |
| メリット | ・金属を使わない、白い被せ物や詰め物にすることができる ・セラミックの中でも最も強度があり、丈夫で割れにくい素材 ・プラークや歯垢がつきにくく、経年的な色の変化がない。 ・ブリッジの素材として使用できる |
| デメリット | ・素材が硬い為、歯ぎしりや食い縛りがあると、噛み合わせている歯が削れることがある。 |
| 料金 | 前歯ポーセレンフルジルコニア:¥132,000 前歯フルジルコニア:¥110,000 奥歯クラウン:¥99,000 <形成料> 生活歯: ¥5,500 ファイバーコア: ¥3,850 メタルコア :¥3,300 インレー:¥66,000 <形成料>¥4,400 |

| 特徴 | 金属の上にセラミックが焼き付けられた素材。 |
| 適用 | 前歯部、クラウン |
| メリット | ・ブリッジの素材として使用できる |
| デメリット | ・金属を使用している為、透明感に欠ける |
| 料金 | 前歯クラウン:¥104,500 奥歯クラウン:¥93,500 <形成料> 生活歯 ¥5,500 ファイバーコア ¥3,850 メタルコア ¥3,300 |

| 特徴 | 白い強化プラスチックでできた素材 |
| 適用 | 前歯部、インレー、クラウン |
| メリット | ・保険の範囲内で金属を使用しない白い素材でできる。 ※保険診療の決まりにより、適用できる歯、できない歯があります。 |
| デメリット | ・素材の強度が弱い為、割れることがある。 ・プラスチックの素材の為、色の変化が起こる |
| 料金 | 健康保険制度に基づく一部負担金 |

| 特徴 | 一般的に保険診療で使用されるいわゆる銀歯の素材は銀合金または、金銀パラジウム合金という素材が使用されます。 |
| 適用 | インレー、クラウン |
| メリット | ・保険の範囲内で治療できる |
| デメリット | ・経年的に劣化し変形してくる ・金属色が目立ってしまう。 |
| 料金 | 健康保険制度に基づく一部負担金 |

| 特徴 | 歯茎の黒ずみを薬液を使用して元の健康的な歯茎の色に変えていきます |
| 適用 | 歯肉の黒ずみ |
| メリット | 黒く色素沈着した歯茎を元の健康なピンク色の歯茎に近づけます。 |
| デメリット | 薬液を使用する為、1週間程度、歯茎が白っぽく変色します。 |
| 料金 | ¥16,500 |


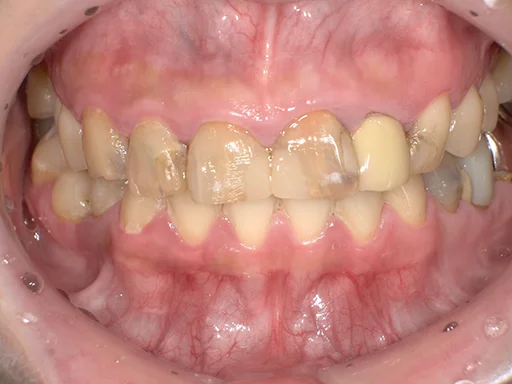
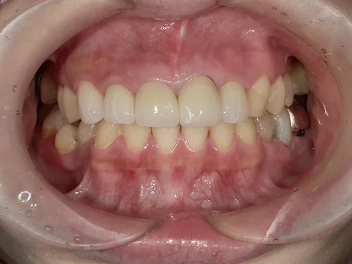
| 治療内容 | ジルコニアクラウンによる前歯の補綴治療 |
当院では、セラミック治療の品質と患者様の安心を保証するため、独自の保証制度を設けております。
すべてのセラミック修復物(e-max、ジルコニア、メタルボンド)に対して、装着日より5年間の品質保証をご提供しています。
保証期間内に通常の使用状況で破損や脱離などの不具合が生じた場合、無償で再製作または修理を行います。
ただし、以下の条件を満たしていることが前提となります。
・定期的なメンテナンスを当院で年に2回以上受けていること
・歯ぎしりや食いしばりがある方は、ナイトガードを適切に使用していること
・過度の衝撃や不適切な使用による破損は対象外となること
また、より長期的な保証をご希望の患者様には、有償の延長保証プランもご用意しております。セラミック治療は決して安価ではありませんが、当院の保証制度により、長期的に見て安心して治療をお受けいただけます。詳細は受付またはカウンセリング時にお気軽にお尋ねください。